• 初めての方へ
  • 診療案内
  • ドクター紹介
  • クリニック紹介
  • アクセス

入れ歯治療

入れ歯で、
しっかり噛める生活を

入れ歯は、失った歯の機能を補い、
食事や会話を快適にするための治療法の一つです。
当院では、患者さまのお口の状態やご希望を丁寧にお伺いし、
できるだけ快適に使える入れ歯をご提案しています。

  • 入れ歯を作るのが初めて不安がある

  • 自分に合った入れ歯治療を相談したい

  • 歯が抜けたままになっている

  • 入れ歯が古くなり
    作り直しを検討している

  • 入れ歯が当たって
    痛くて食事がしづらい

  • 入れ歯を作るのが初めて不安がある

  • 自分に合った入れ歯治療を相談したい

  • 歯が抜けたままになっている

  • 入れ歯が古くなり、作り直しを検討している

  • 入れ歯が当たって、痛くて食事がしづらい

  • 入れ歯作るのが
    初めて不安がある

  • 自分合った
    入れ歯治療相談したい

  • 抜けたままになっている

  • 入れ歯古くなり
    作り直し検討している

  • 入れ歯当たって
    痛くて食事がしづらい

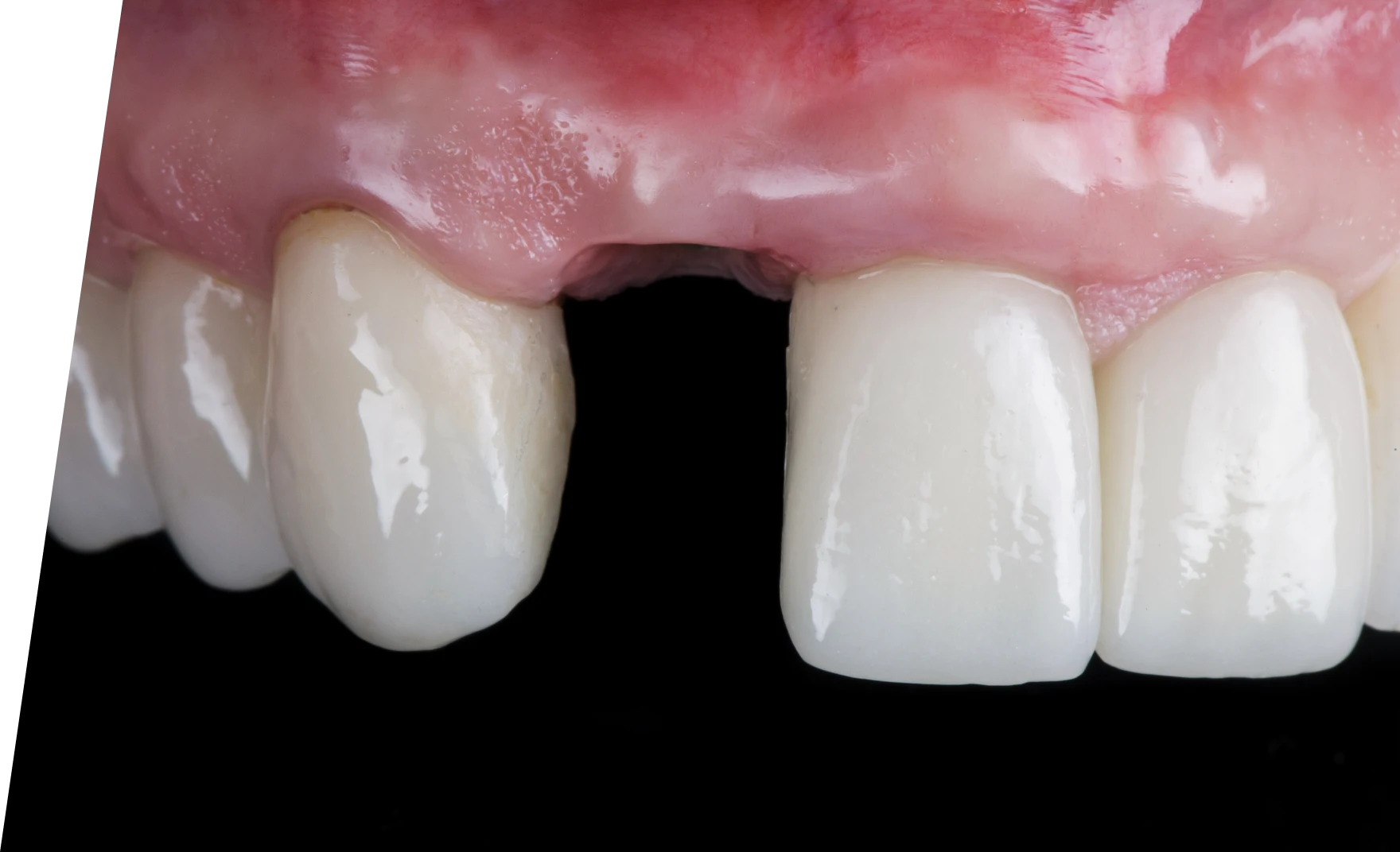
失ったまま
放置すると…

歯を失った場所を放置すると、単に「噛みにくい」だけでなく、お口全体、さらには全身の健康に悪影響を及ぼす可能性があります。

隣り合っていた歯が空いたスペースに倒れ込んできたり、噛み合っていた反対側の歯が伸びてきたりすることで、全体の噛み合わせのバランスが崩れてしまいます。

入れ歯のメリット

  • 外科手術を行わずに歯を補うことができる
  • 比較的短期間で治療を始められる
  • 保険診療で作製できる
  • 取り外しができるため、お手入れがしやすい

入れ歯のデメリット

  • 装着時に違和感を感じることがある
  • 硬い食べ物が噛みにくい場合がある
  • 金属のバネが目立つことがある
  • 欠けたり割れたりすることがある

当院の
オーダーメイド入れ歯

増田歯科医院 守口院では、お顔のバランスや噛み合わせのクセまで考慮した
オーダーメイドの入れ歯をご提供しています。
周囲の筋肉の動きまで考慮して設計を行い、
粘膜にやさしくフィットする形状を追求しています。

金属床義歯

床の部分に金属を使用した入れ歯です。薄く作ることができるため違和感が少なく、強度にも優れています。また、熱が伝わりやすいため、食事の温度を感じやすいという特徴があります。

ノンクラスプ
デンチャー

金属のバネ(クラスプ)を使用しない部分入れ歯です。歯ぐきに近い色の素材を使用するため、装着しても目立ちにくく、見た目を気にされる方に選ばれています。

まずは、
お悩み
お聞かせください

入れ歯は、お口の状態に合わせた調整や設計を行うことで、
装着感や噛みやすさが改善できます。
当院では入れ歯だけでなく、ブリッジやインプラントなど、
歯を失った場合の治療方法についてもご相談いただけます。

検査結果をもとに、お口の状態やご希望に合わせた
治療方法をご提案します。

Q1 入れ歯を初めて作ります。保険と自費で迷っています。
A1

まずはご要望をお聞かせください。
「まずは保険の入れ歯で試してみたい」という方もいれば、「最初から違和感の少ないものを」と自費の入れ歯を選ばれる方もいます。当院では無理に自費診療を勧めることはありません。それぞれのメリット・デメリットを丁寧にご説明し、ご納得いただいたうえで治療を進めていきます。

Q2 オーダーメイド入れ歯の費用はどのくらいですか?
A2

オーダーメイド入れ歯は自費診療となります。費用の目安は以下の通りです。
・金属床義歯(総義歯・片顎):300,000円~
・金属床義歯(片顎・10歯以下):250,000円~
・ノンクラスプデンチャー(片顎):250,000円~
入れ歯の種類やお口の状態によって費用が変わる場合があります。詳しくは診察のうえご説明いたしますので、お気軽にご相談ください。

Q3 市販の入れ歯安定剤は毎日使っても大丈夫ですか?
A3

一時的な使用であれば問題ありません。
ただし、毎日安定剤を使わないと食事ができない場合は、入れ歯自体が合っていない可能性があります。合わない入れ歯を使い続けると、顎の骨が痩せる原因になることもあるため、早めに調整や作り替えをご相談ください。

Q4 入れ歯のお手入れには洗浄剤を使えばよいですか?
A4

はい、入れ歯洗浄剤は目に見えない細菌や汚れを落とすために有効です。
ただし、歯磨き粉(研磨剤入り)で強くこすると、入れ歯の表面に細かな傷がつき、汚れが付きやすくなることがあるので注意しましょう。
入れ歯洗浄用の専用のブラシや洗浄剤についても、当院のスタッフがご説明いたします。お気軽にご相談ください。

Q5 奥歯を1本だけ失った場合でも入れ歯は必要ですか?
A5

入れ歯は必要です。
奥歯は噛む力を支える重要な役割を担っています。1本程度なら問題ないと思われることもありますが、放置すると周囲の歯に負担がかかり、噛み合わせが乱れることがあります。
部分入れ歯のほか、ブリッジやインプラントなどの選択肢もありますので、お気軽にご相談ください。

診療案内

医院案内

お知らせ

  • 2026.03.25

    ゴールデンウィーク 休診のお知らせ

    5月3日(日) ~ 5月7日(木) は休診いたします。
    患者様にはご不便をおかけいたしますが、何卒ご理解のほどお願い申し上げます。

  • 2025.12.08

    年末年始休診のお知らせ

    12月29日(月) 午後 ~ 1月4日(日) は年末年始のため休診いたします。
    1月5日(月) から通常診療いたします。
    患者様にはご不便をおかけいたしますが、何卒ご理解のほどお願い申し上げます。

  • 2025.10.31

    増田歯科通信更新

    「インプラントの仮歯」についてコラムを更新しました。
    気になる方はチェックしてみてください。
    こちら

  • 2025.10.30

    増田歯科通信更新

    「インプラント手術と風邪」についてコラムを更新しました。
    気になる方はチェックしてみてください。
    こちら

  • 2025.10.30

    増田歯科通信更新

    「インプラント治療後の臭い」についてコラムを更新しました。
    気になる方はチェックしてみてください。
    こちら

  • 2025.09.30

    増田歯科通信更新

    「インプラントのセカンドオピニオン」についてコラムを更新しました。
    気になる方はチェックしてみてください。
    こちら

  • 2025.09.19

    増田歯科通信更新

    「インプラントのエアフロー」についてコラムを更新しました。
    気になる方はチェックしてみてください。
    こちら

  • 2025.08.29

    増田歯科通信更新

    「インプラントにおすすめの歯磨き粉」についてコラムを更新しました。
    気になる方はチェックしてみてください。
    こちら

  • 2025.07.31

    増田歯科通信更新

    「インプラント治療中の食事制限」についてコラムを更新しました。
    術前・術後の注意点が気になる方はチェックしてみてください。
    こちら

  • 2025.07.29

    夏季休暇のお知らせ

    誠に勝手ながら、下記の期間を夏季休診とさせていただきます。

    【守口本院・京橋院】
    休診期間:8月10日(日)~8月14日(木)

    【門真院】
    休診期間:8月11日(月)~8月15日(金)

    ※いずれの院も、8月7日(木)は通常通り診療いたします。

    ご不便をおかけいたしますが、何卒ご了承くださいますようお願いいたします。

  • 2025.07.28

    増田歯科通信更新

    「インプラント治療後は運動してもいい?」についてコラムを更新しました。
    身体を動かしてもよいタイミングが気になる方はチェックしてみてください。
    こちら

  • 2025.07.28

    増田歯科通信更新

    「インプラント治療後のうがい方法」についてコラムを更新しました。
    うがい薬の選び方に迷っている方はチェックしてみてください。
    こちら

  • 2025.07.28

    増田歯科通信更新

    「インプラント治療後の唇のしびれと神経損傷」についてコラムを更新しました。
    症状が気になる方はぜひご覧ください。
    こちら

  • 2025.07.24

    増田歯科通信更新

    「インプラント治療後に歯が痛い原因」についてコラムを更新しました。
    気になる方はチェックしてみてください。
    こちら

  • 2025.07.24

    増田歯科通信更新

    「インプラントと金属アレルギーの関係」についてコラムを更新しました。
    金属アレルギーが気になる方はチェックしてみてください。
    こちら

  • 2025.06.30

    増田歯科通信更新

    「インプラントの違和感」についてコラムを更新しました。
    気になる方はチェックしてみて下さい。 こちら

  • 2025.05.20

    増田歯科通信更新

    「インプラントの被せ物」についてコラムを更新しました。
    気になる方はチェックしてみて下さい。 こちら

  • 2025.05.20

    増田歯科通信更新

    「インプラントを後悔した原因」についてコラムを更新しました。
    気になる方はチェックしてみて下さい。 こちら

  • 2025.05.16

    増田歯科通信更新

    「インプラントと糖尿病の関係」についてコラムを更新しました。
    気になる方はチェックしてみて下さい。 こちら

  • 2025.05.01

    GWのお知らせ

    5月1日(木)~5月6日(火)が休診となっております。
    ご迷惑をお掛けいたしますが、何卒よろしくお願いいたします。
    ※5月8日(木)は通常通り診療いたします。

  • 2025.04.30

    増田歯科通信更新

    「インプラント治療で失敗が不安な方へ」についてコラムを更新しました。
    気になる方はチェックしてみて下さい。 こちら

  • 2025.04.03

    増田歯科通信更新

    「インプラント のメンテナンスの重要性と引っ越し」についてコラムを更新しました。
    気になる方はチェックしてみて下さい。 こちら

  • 2025.03.26

    増田歯科通信更新

    「インプラント 口臭」についてコラムを更新しました。
    気になる方はチェックしてみて下さい。 こちら

  • 2025.03.19

    増田歯科通信更新

    「インプラントの年齢制限」についてコラムを更新しました。
    気になる方はチェックしてみて下さい。 こちら

  • 2025.03.11

    増田歯科通信の更新

    「前歯のインプラント」についてコラムを更新しました。
    気になる方はチェックしてみて下さい。 こちら

  • 2025.02.27

    増田歯科通信更新

    「歯を失ったら?インプラント・ブリッジ・入れ歯の比較」についてコラムを更新しました。
    気になる方はチェックしてみて下さい。 こちら

  • 2025.02.14

    増田歯科通信の更新

    「奥歯のインプラント」についてコラムを更新しました。
    気になる方はチェックしてみて下さい。 こちら

  • 2025.02.04

    増田歯科通信の更新

    「インプラントと寿命」についてコラムを更新しました。
    気になる方はチェックしてみて下さい。 こちら

  • 2025.01.28

    増田歯科通信の更新

    「インプラントとmri」についてコラムを更新しました。
    気になる方はチェックしてみて下さい。 こちら

  • 2024.12.23

    年末年始の休診日について

    12/29(日)~1/3(金)までの間、年末年始のお休みをいただきます。
    なお、12/28(土)は午前枠のみの診療となります。
    患者様にはご迷惑、ご不便おかけいたしますが、ご理解いただけますと幸いです。

  • 2024.12.20

    増田歯科通信の更新

    「インプラントと喫煙」についてコラムを更新しました。
    気になる方はチェックしてみて下さい。 こちら

  • 2024.11.29

    増田歯科通信の更新

    「インプラントの手術」についてコラムを更新しました。
    気になる方はチェックしてみて下さい。
    > こちらから

  • 2024.11.27

    増田歯科通信の更新

    「歯医者の選び方」についてコラムを更新しました。
    気になる方はチェックしてみて下さい。
    > こちらから

  • 2024.11.22

    増田歯科通信の更新

    「インプラントと費用の相場」についてコラムを更新しました。気になる方はチェックしてみて下さい。
    > こちらから

  • 2024.08.06

    臨時診療日のお知らせ

    下記の日程は臨時診療日となります。
    8月8日(木)

  • 2024.08.06

    夏季休診のお知らせ

    下記の日程は夏期休診とさせていただきます。
    8月11日(日)~8月15日(木) 
    8月16日(金))より通常通りの診療を行いますので、どうぞよろしくお願いいたします。

  • 2024.08.05

    臨時診療日のご案内

    下記の日程は臨時診療日となります。 8月8日(木)  どうぞよろしくお願いいたします。

  • 2023.12.06

    年末年始休診のお知らせ

    年末年始の休診日程は下記の通りとなります。
    なお、新年は1月5日(金)から通常通りの診療を始めますので、どうぞよろしくお願いいたします。
    2023年12月29日(金) 午前診療
    2023年12月30日(土)~2024年1月4日(木) 休診

  • 2023.08.07

    夏季休診日のお知らせ

    8月11日(金)~8月14日(月) お盆休み
    8月15日(火)より通常通り診療させていただきますので、何卒よろしくお願いします。