
親知らず抜歯
親知らず
抜歯について
親知らずは20歳前後に生える奥歯で、
向きや位置によっては痛みや腫れの原因になります。
増田歯科医院 守口院では、お口の状態を丁寧に検査したうえで
抜歯の必要性を判断し、
わかりやすくご説明します。
親知らずを
放置すると・・・
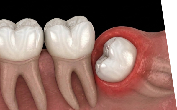
親知らずの生え方によっては、さまざまなトラブルにつながることがあります。
親知らずの抜歯が
必要なケース
- 斜めや横向きに生えている
- 歯ぐきの腫れや痛みを繰り返している
- 噛み合わせる歯が無い
- 完全に親知らずが埋まっている
親知らずの抜歯が
必要ないケース
- まっすぐ生えていてしっかり噛める
- 歯磨きが十分できている
- 周囲の歯や歯ぐきに悪影響がない
- 手前の奥歯が欠損し移植歯として使える
増田歯科医院 守口院の
親知らず治療
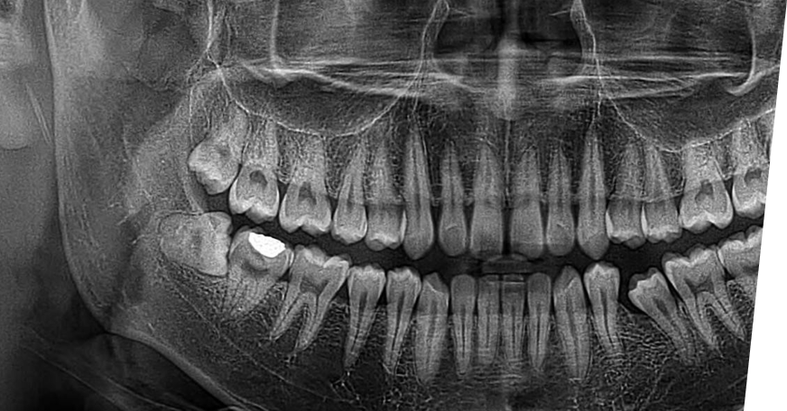
CTによる
精密診断
CTを用いて、親知らずと神経・血管との位置関係を立体的に把握します。見えにくい部分まで正確に確認することで、リスクを抑えた安全性の高い治療計画を立てています。
経験豊富な
ドクターが対応
親知らずの生え方や難易度に応じて、経験を積んだドクターが適切に対応します。切開や分割が必要なケースでも、周囲組織への負担を考えながら丁寧に抜歯を行います。
抜歯後まで安
心の
アフターフォローアフター
フォロー
アフターフォロー
抜歯後の痛みや腫れへの対処方法、日常生活での注意点まで丁寧にご説明します。万が一気になる症状が出た場合も、迅速に対応できる体制を整えています。
親知らず抜歯の流れ
初診診察・レントゲン
撮影
まずはお口の状態を確認し、レントゲンを撮影します。必要に応じてCTも使用し、歯の生え方や神経との位置関係を確認し、安全に処置できるよう検査します。
初診親知らずの状態の
説明
親知らずの状態や注意点をわかりやすくご説明します。すべてのケースで抜歯が必要なわけではなく、痛みや炎症の有無を確認したうえで、必要な場合に抜歯をご提案します。
2回目の診察親知らずの抜歯
親知らずの抜歯は局所麻酔で痛みを抑え、安全に行います。歯の生え方に応じて切開や縫合が必要な場合もありますが、術中も不安なく受けられるよう配慮して進めます。
2回目の診察抜歯後の注意事項
出血や腫れを抑えるための注意点や、ご自宅での過ごし方をご説明します。食事や歯磨きの方法、必要なお薬についてもお伝えし、安心して回復できるようサポートします。
以降の診察経過確認・
必要に応じた再診
抜歯後は経過を確認します。傷の治りや腫れ、回復状況をチェックし、必要に応じて消毒や抜糸などの処置を行います。術後の不安や気になる症状もお気軽にご相談ください。
抜歯後の注意点
-
患部への刺激は控える
仮歯が外れたり、痛みが出る原因になるので、治療中の歯では噛まないようにしましょう。
-
血行の良くなることは避ける
仮歯が取れたらすぐに歯科医院へ連絡しましょう。放置すると治療部位に細菌が入り、再治療が必要
-
処方薬は医師の指示通りに
仮歯の周りも毎食後に優しく磨き、清潔な状態を保ちましょう。
親知らずのトラブルは
早期発見治療
親知らずは、生え方や周囲への影響、将来的なリスクを確認したうえで、抜歯が必要かどうかを判断することが大切です。急な痛みや腫れなどの症状が出た場合は、炎症を抑えてからの処置となるため、症状が出る前の受診をおすすめします。気になる症状がある方や、抜くべきか迷っている方も、まずは一度ご相談ください。
- Q1 親知らず抜歯は痛いですか?
-
A1
抜歯の際は局所麻酔を行うため、処置中の痛みはほとんどありません。術後に違和感や痛みが出ることがありますが、痛み止めを処方しますのでご安心ください。強い痛みや出血が続く場合は、早めに歯科医院へご連絡ください。
- Q2 親知らず抜歯後は腫れますか?
-
A2
はい。腫れは抜歯後2〜3日をピークに、多くの場合は数日〜1週間ほどで落ち着きます。
特に埋まっている親知らずは腫れやすい傾向があります。保冷剤をタオルで包んで軽く冷やすのがおすすめです。腫れが強い場合はご相談ください。
- Q3 親知らずは虫歯になる前に抜いた方がいいですか?
-
A3
親知らずの状態によって判断が異なります。まっすぐ生えて問題なく噛める場合は、必ずしも抜歯の必要はありません。一方で、磨きにくく炎症やトラブルを繰り返す場合は抜歯をおすすめします。放置すると手前の歯にも影響することがあるため、歯科医院での検査が重要です。
- Q4 親知らずの抜歯費用はどれくらいかかりますか?
-
A4
親知らずの抜歯は、保険適用で行うことができます。費用は歯の生え方や処置内容、保険の負担割合によって異なります。詳しくはご来院時にご説明いたします。
- Q5 親知らずの抜歯後は歯磨きをしてもいいですか?
-
A5
はい、可能です。ただし抜歯した当日は患部を避け、やさしく歯磨きを行ってください。翌日以降も傷口に強く当てないよう注意し、清潔な状態を保つことが大切です。