• 初めての方へ
  • 診療案内
  • ドクター紹介
  • クリニック紹介
  • アクセス

インプラント治療
の流れ

インプラント治療 ご相談から
治療完了までの流れ

インプラント治療はすぐに始めるのではなく、まずはお悩みやご希望を丁寧にお伺いします。
必要な検査と十分なご説明を行い、ご納得いただいてから治療を進めます。
ここでは、その基本的な流れをご紹介します。

flow 01

初診
カウンセリング

患者様のお口のお悩みや、治療へのご希望をお伺いします。インプラント以外の選択肢も含めてご提案し、内容・費用・期間まで分かりやすくご説明します。 ご理解・ご納得いただいたうえで治療を進めますので、ご安心ください。

flow 02

精密検査と
治療計画の立案

口腔内や全身の健康状態を確認し、既往歴や服薬状況も把握します。 レントゲンや歯科用CTで顎骨や歯周組織を詳しく診断します。検査結果をもとに治療計画を立て、シミュレーションを行います。

flow 03

インプラント
1次手術

衛生管理を徹底したオペ室で手術を行い、ご不安の強い方には静脈内鎮静法にも対応しています。サージカルガイドで正確にインプラントを埋入し、術後は数ヶ月の治癒期間を設けて骨と結合するまで安静にお過ごしいただきます。

flow 04

インプラント
2次手術

治癒期間後、歯ぐきを小さく開いてインプラント上部を出し、アバットメントと人工歯を装着します。噛み合わせを確認・調整し、問題がなければインプラント治療は終了です。

flow 05

定期メンテナンス

インプラントを長持ちさせるためには、治療後の管理が欠かせません。インプラント周囲炎や噛み合わせなどのトラブルを防ぐため、通常は3〜6ヶ月に1回のメンテナンスをおすすめしています。

安全精密治療える
当院デジタル設備

当院では、経験や勘だけに頼らず、客観的なデータに基づいた
安全なインプラント治療を行うため、デジタル設備を導入しています。

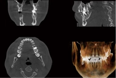
  • 歯科用CT

    インプラント治療では、顎の骨の「質」と「量」を正確に把握することが重要です。歯科用CTは顎の構造を立体的に確認でき、神経との距離も細かく測定できます。これにより、手術時のリスクを抑えることができます。

  • デジタルシミュレーションソフト

    撮影したCTデータを専用ソフトで解析し、手術前にコンピューター上で埋入位置をシミュレーションします。あらかじめ計画を立てることで、手術時間の短縮や術後の腫れ・痛みの軽減につながります。

  • ガイデッドサージェリー

    シミュレーションに基づき、インプラントを正確に埋入するための手術用ガイドを作製します。ガイドを使用することで高い精度での手術が可能となり、ヒューマンエラーのリスクを抑えます。

リラックスして
けられる
静脈内鎮静法

静脈内鎮静法は、うたた寝のような状態で手術を受けられる麻酔方法です。
不安や恐怖心をやわらげ、音や振動によるストレスを軽減します。点滴で薬を投与し、血圧や呼吸を管理しながら安全に行います。

こんな方に
お勧めです

  • 歯科治療に強い不安や恐怖心がある方
  • 手術時間が長くなる可能性
    がある方
  • 嘔吐反射が強い方
  • 基礎疾患があり全身管理が必要な方
  • 過去に治療中に気分が
    悪くなったことがある方

Merit メリット

  • リラックスした状態で手術を受けられる
  • 全身麻酔とは異なり、当日中に帰宅できる
  • 手術中の記憶が残りにくい
  • 嘔吐反射を抑えられる

Demerit デメリット

  • 保険適用外のため追加費用がかかる
  • 持病や服薬状況により適応できない場合がある
  • 手術前に食事制限が必要
  • 当日は車の運転ができない

りないと
われた

りないと
われた

「骨が薄い」「インプラントは難しい」と他院で言われた方でも、治療できる可能性があります。骨が不足している場合は、骨造成によって骨を補い、インプラントが可能になるケースもあります。他院で断られた方も、まずは一度ご相談ください。

当院3つの骨造成

  • GBR(骨再生誘導法)

    不足している部分に人工骨などを補填し、骨の幅や高さを増やす方法です。インプラントを支える土台を整えます。

  • サイナスリフト

    上顎の奥歯部分で骨が足りない場合に行う方法です。上顎洞に骨を追加し、インプラントを埋めるための厚みを確保します。

  • ソケットリフト

    上顎の骨がやや不足している場合に行う方法です。インプラントを埋入する部分から骨を持ち上げ、必要な厚みを補います。

よくある質問

Q1 インプラント治療の全体の期間は
どれくらいですか
A1

標準的なケースでは4ヶ月〜半年程度です。骨造成を行う場合は、骨が固まるのを待つ期間が必要なため、プラス3ヶ月〜半年ほどかかる場合があります。

Q2 手術当日の痛みや腫れは
どれくらいですか?
A2

手術中は麻酔が効いているため痛みはありません。術後は2〜3日をピークに多少の腫れや痛みが出ることがありますが、痛み止めでコントロールできる範囲内であることがほとんどです。

Q3 静脈内鎮静法後の
帰宅時の注意点はありますか?
A3

麻酔の影響が少し残る可能性があるため、当日の車、バイク、自転車の運転は厳禁です。公共交通機関をご利用いただくか、ご家族の送迎でご来院ください。

インプラント治療
不安
まずはご相談
お待ちしています

インプラント治療は、将来のお口の健康を守るための精密なプロセスの積み重ねです。増田歯科医院 守口本院では、歯科用CTやガイデッドサージェリーによる安全管理、静脈内鎮静法による不安や苦痛への配慮、さらに骨造成による難症例への対応まで、一貫した治療体制を整えています。「しっかり噛める喜び」を取り戻すために、まずはカウンセリングへお越しください。安心して治療を受けられるよう、丁寧にサポートいたします。

診療案内

医院案内

お知らせ

  • 2026.03.25

    ゴールデンウィーク 休診のお知らせ

    5月3日(日) ~ 5月7日(木) は休診いたします。
    患者様にはご不便をおかけいたしますが、何卒ご理解のほどお願い申し上げます。

  • 2025.12.08

    年末年始休診のお知らせ

    12月29日(月) 午後 ~ 1月4日(日) は年末年始のため休診いたします。
    1月5日(月) から通常診療いたします。
    患者様にはご不便をおかけいたしますが、何卒ご理解のほどお願い申し上げます。

  • 2025.10.31

    増田歯科通信更新

    「インプラントの仮歯」についてコラムを更新しました。
    気になる方はチェックしてみてください。
    こちら

  • 2025.10.30

    増田歯科通信更新

    「インプラント手術と風邪」についてコラムを更新しました。
    気になる方はチェックしてみてください。
    こちら

  • 2025.10.30

    増田歯科通信更新

    「インプラント治療後の臭い」についてコラムを更新しました。
    気になる方はチェックしてみてください。
    こちら

  • 2025.09.30

    増田歯科通信更新

    「インプラントのセカンドオピニオン」についてコラムを更新しました。
    気になる方はチェックしてみてください。
    こちら

  • 2025.09.19

    増田歯科通信更新

    「インプラントのエアフロー」についてコラムを更新しました。
    気になる方はチェックしてみてください。
    こちら

  • 2025.08.29

    増田歯科通信更新

    「インプラントにおすすめの歯磨き粉」についてコラムを更新しました。
    気になる方はチェックしてみてください。
    こちら

  • 2025.07.31

    増田歯科通信更新

    「インプラント治療中の食事制限」についてコラムを更新しました。
    術前・術後の注意点が気になる方はチェックしてみてください。
    こちら

  • 2025.07.29

    夏季休暇のお知らせ

    誠に勝手ながら、下記の期間を夏季休診とさせていただきます。

    【守口本院・京橋院】
    休診期間:8月10日(日)~8月14日(木)

    【門真院】
    休診期間:8月11日(月)~8月15日(金)

    ※いずれの院も、8月7日(木)は通常通り診療いたします。

    ご不便をおかけいたしますが、何卒ご了承くださいますようお願いいたします。

  • 2025.07.28

    増田歯科通信更新

    「インプラント治療後は運動してもいい?」についてコラムを更新しました。
    身体を動かしてもよいタイミングが気になる方はチェックしてみてください。
    こちら

  • 2025.07.28

    増田歯科通信更新

    「インプラント治療後のうがい方法」についてコラムを更新しました。
    うがい薬の選び方に迷っている方はチェックしてみてください。
    こちら

  • 2025.07.28

    増田歯科通信更新

    「インプラント治療後の唇のしびれと神経損傷」についてコラムを更新しました。
    症状が気になる方はぜひご覧ください。
    こちら

  • 2025.07.24

    増田歯科通信更新

    「インプラント治療後に歯が痛い原因」についてコラムを更新しました。
    気になる方はチェックしてみてください。
    こちら

  • 2025.07.24

    増田歯科通信更新

    「インプラントと金属アレルギーの関係」についてコラムを更新しました。
    金属アレルギーが気になる方はチェックしてみてください。
    こちら

  • 2025.06.30

    増田歯科通信更新

    「インプラントの違和感」についてコラムを更新しました。
    気になる方はチェックしてみて下さい。 こちら

  • 2025.05.20

    増田歯科通信更新

    「インプラントの被せ物」についてコラムを更新しました。
    気になる方はチェックしてみて下さい。 こちら

  • 2025.05.20

    増田歯科通信更新

    「インプラントを後悔した原因」についてコラムを更新しました。
    気になる方はチェックしてみて下さい。 こちら

  • 2025.05.16

    増田歯科通信更新

    「インプラントと糖尿病の関係」についてコラムを更新しました。
    気になる方はチェックしてみて下さい。 こちら

  • 2025.05.01

    GWのお知らせ

    5月1日(木)~5月6日(火)が休診となっております。
    ご迷惑をお掛けいたしますが、何卒よろしくお願いいたします。
    ※5月8日(木)は通常通り診療いたします。

  • 2025.04.30

    増田歯科通信更新

    「インプラント治療で失敗が不安な方へ」についてコラムを更新しました。
    気になる方はチェックしてみて下さい。 こちら

  • 2025.04.03

    増田歯科通信更新

    「インプラント のメンテナンスの重要性と引っ越し」についてコラムを更新しました。
    気になる方はチェックしてみて下さい。 こちら

  • 2025.03.26

    増田歯科通信更新

    「インプラント 口臭」についてコラムを更新しました。
    気になる方はチェックしてみて下さい。 こちら

  • 2025.03.19

    増田歯科通信更新

    「インプラントの年齢制限」についてコラムを更新しました。
    気になる方はチェックしてみて下さい。 こちら

  • 2025.03.11

    増田歯科通信の更新

    「前歯のインプラント」についてコラムを更新しました。
    気になる方はチェックしてみて下さい。 こちら

  • 2025.02.27

    増田歯科通信更新

    「歯を失ったら?インプラント・ブリッジ・入れ歯の比較」についてコラムを更新しました。
    気になる方はチェックしてみて下さい。 こちら

  • 2025.02.14

    増田歯科通信の更新

    「奥歯のインプラント」についてコラムを更新しました。
    気になる方はチェックしてみて下さい。 こちら

  • 2025.02.04

    増田歯科通信の更新

    「インプラントと寿命」についてコラムを更新しました。
    気になる方はチェックしてみて下さい。 こちら

  • 2025.01.28

    増田歯科通信の更新

    「インプラントとmri」についてコラムを更新しました。
    気になる方はチェックしてみて下さい。 こちら

  • 2024.12.23

    年末年始の休診日について

    12/29(日)~1/3(金)までの間、年末年始のお休みをいただきます。
    なお、12/28(土)は午前枠のみの診療となります。
    患者様にはご迷惑、ご不便おかけいたしますが、ご理解いただけますと幸いです。

  • 2024.12.20

    増田歯科通信の更新

    「インプラントと喫煙」についてコラムを更新しました。
    気になる方はチェックしてみて下さい。 こちら

  • 2024.11.29

    増田歯科通信の更新

    「インプラントの手術」についてコラムを更新しました。
    気になる方はチェックしてみて下さい。
    > こちらから

  • 2024.11.27

    増田歯科通信の更新

    「歯医者の選び方」についてコラムを更新しました。
    気になる方はチェックしてみて下さい。
    > こちらから

  • 2024.11.22

    増田歯科通信の更新

    「インプラントと費用の相場」についてコラムを更新しました。気になる方はチェックしてみて下さい。
    > こちらから

  • 2024.08.06

    臨時診療日のお知らせ

    下記の日程は臨時診療日となります。
    8月8日(木)

  • 2024.08.06

    夏季休診のお知らせ

    下記の日程は夏期休診とさせていただきます。
    8月11日(日)~8月15日(木) 
    8月16日(金))より通常通りの診療を行いますので、どうぞよろしくお願いいたします。

  • 2024.08.05

    臨時診療日のご案内

    下記の日程は臨時診療日となります。 8月8日(木)  どうぞよろしくお願いいたします。

  • 2023.12.06

    年末年始休診のお知らせ

    年末年始の休診日程は下記の通りとなります。
    なお、新年は1月5日(金)から通常通りの診療を始めますので、どうぞよろしくお願いいたします。
    2023年12月29日(金) 午前診療
    2023年12月30日(土)~2024年1月4日(木) 休診

  • 2023.08.07

    夏季休診日のお知らせ

    8月11日(金)~8月14日(月) お盆休み
    8月15日(火)より通常通り診療させていただきますので、何卒よろしくお願いします。